Tissue & Organization

A focus on structure

 
 

Immune responses benefit from organization. Secondary lymphoid tissues (SLOs) provide this by both recruiting adaptive and innate immune cells and facilitating their interactions. This allows for the initiation of T cell responses, but also for the maintenance of T cell populations through the provisions of critical cytokines, like IL-7. By contrast, it is the disruption of the normal architecture that is thought to impair immune responses against chronic viral infections such as Clone 13 LCMV infection.

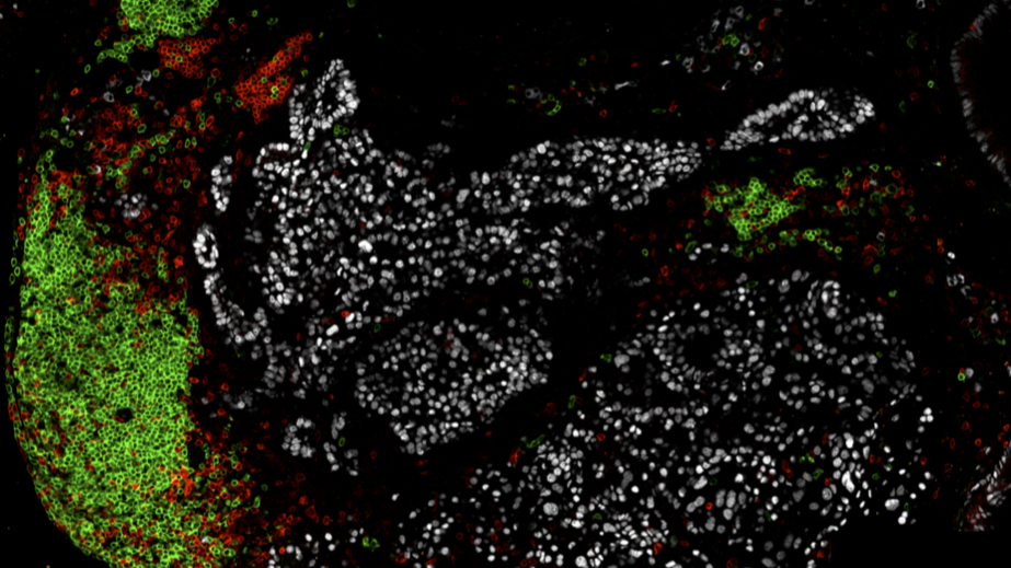
In peripheral tissues, tertiary lymphoid structures (TLS) are thought to serve many of the same putative functions as SLOs, but less is known about these structures. Recent work has highlighted that TLS are frequently associated with cancer across many types, and their presence correlates with better outcomes and responses to immunotherapy. However, what theses structures do remains unclear.

We previously reported that TLS form in the KP lung adenocarcinoma model, and that these structures can recruit anti-tumor T cells and facilitate their interactions with tumor antigen-presenting dendritic cells (Joshi Immunity 2015). Moreover, depletion of regulatory T cells (Tregs) in TLS unleashed a potent anti-tumor immune response that led to destruction of the tumor. The lab is currently combining our novel models with advanced imaging techniques to understand how TLS form and what the role of tumor antigens are in this process.

This work is part of an ongoing collaborative effort funded via a Mark Foundation Endeavor Grant

More Team time →
back to stories
TLS Paper →
Endeavor team →

KP-NINJA tumor with associated B (red) and T (yellow) cell